🚘 ENVIOS GRÁTIS A PARTIR DE 40€ (PORTUGAL CONTINENTAL)🚘

Higiene Oral

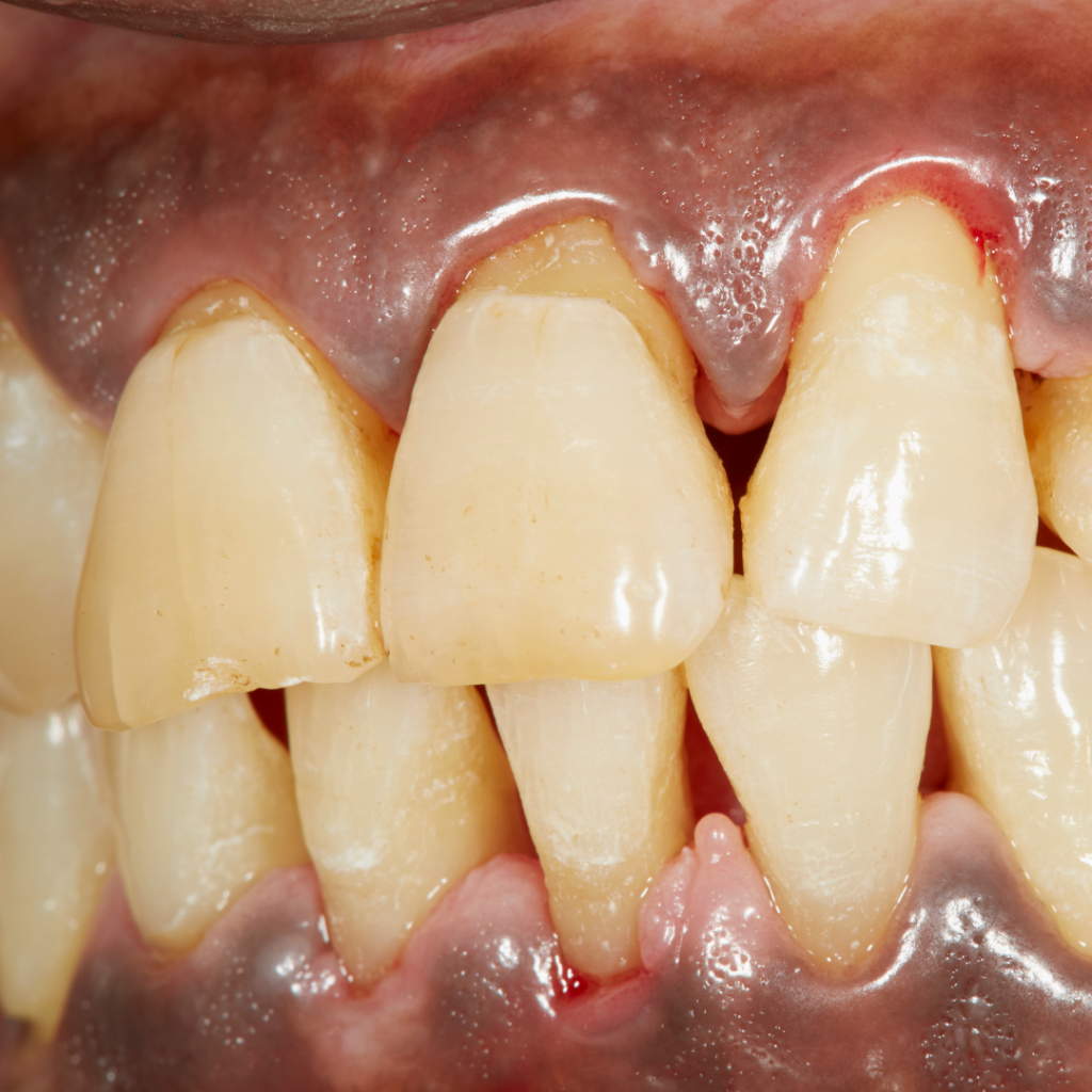
Sangramento Gengival, como tratar?

  • Patricia Oliveira
  • 12 de Março, 2025
  • 513 visualizações
Sangramento Gengival, como tratar?

O sangramento gengival é um problema comum que pode indicar desde uma higiene oral inadequada até doenças periodontais mais graves. Neste artigo, vamos abordar as suas principais causas, formas de prevenção e os melhores tratamentos disponíveis.

O que é o sangramento gengival?

O sangramento gengival ocorre quando as gengivas estão frequentemente inflamadas e sensíveis ao escovar os dentes ou ao usar fio dental e pode indicar problemas bucais subjacentes como gengivite ou periodontite.

Quais as consequências do Sangramento Gengival?

Entre as causas mais comuns do sangramento gengival, destacam-se:

Gengivite – É a causa mais comum de sangramento gengival, consiste na inflamação inicial das gengivas provocada pela acumulação da placa bacteriana (película pegajosa e incolor formada pela acumulação de bactérias nos dentes).

Periodontite – É uma doença inflamatória crónica que surge da evolução de uma gengivite não tratada. Esta doença leva à retração da gengiva e à perda do osso de suporte dos dente

Higiene oral inadequada – A escovagem incorreta ou uso incorreto do fio dental. Por isso, usar uma escova de dentes dura ou passar o fio dentário com demasiada força podem provocar o sangramento das gengivas.

Deficiência nutricional – A falta de vitaminas C e K pode aumentar a fragilidade gengival. A falta vitamina C causa a inflamação das gengivas e, se não for tratada, pode levar à perda de dentes. A falta de vitamina K também pode causar graves problemas dentários, visto que é necessária para a coagulação do sangue.

Alterações hormonais – As alterações hormonais que ocorrem nas mulheres grávidas podem causar sangramento das gengivas sem razão aparente. Isto é bastante comum e geralmente desaparece mais tarde na gravidez ou após o nascimento do bebé. As hormonas da gravidez tornam as gengivas mais sensíveis às bactérias que estão na placa bacteriana, que podem inflamar as gengivas.

Diabetes – As pessoas diabéticas correm maior risco de desenvolver doença gengival, porque os níveis elevados de glicemia causam danos nos vasos sanguíneos e podem reduzir o fluxo de sangue e nutrientes que chega as gengivas e aos ossos. Assim, aumenta a probabilidade de infeções como gengivite. 

Hemofilia – é uma doença rara que afeta a capacidade de coagulação do sangue.

Uso de medicamentos anticoagulantes – A toma de anticoagulantes como a aspirina, podem aumentar a predisposição para o sangramento.

Qual o tratamento?

O tratamento do sangramento gengival depende da causa subjacente.

A principal abordagem para o tratamento da gengivite é iniciar uma rotina diária de higiene oral, para melhorar a remoção da placa bacteriana e assim, proteger os dentes e gengivas.

Desta forma, é aconselhado escovar os dentes após as refeições durante 2 minutos e de seguida limpar entre os dentes com fio/fita dentária. 

A escovagem deve ser realizada com uma escova com cerdas suaves e em bom estado.

A pasta dos dentes deve ser específica para as gengivas e deve contribuir para parar e/ou prevenir o sangramento gengival.

Esta rotina complementada com a utilização de um colutório promove um cuidado completo para as gengivas e dentes.

Caso o sangramento gengival esteja relacionado com outros fatores, como deficiências nutricionais ou condições médicas, o tratamento específico para essas causas também é fundamental.

O sangramento gengival pode ser um sinal de alerta para problemas bucais mais graves. Manter uma boa higiene oral, ter uma alimentação equilibrada e visitar regularmente o dentista são as melhores formas de prevenir e tratar este problema.

Sempre que uma boa rotina de higiene oral e o uso de produtos específicos para o sangramente gengival não for suficiente para estancar este problema, deve consultar o seu médico dentista ou estomatologista.

Autora: Drª Daniela Capitão

Partilhe este artigo

Contactos

+351 913 698 969

Horário Atendimento

Segunda a Sexta: 09:00 – 18:00

Definições de Cookies

A Farmácia Perto de Mim pode utilizar cookies para memorizar os seus dados de início de sessão, recolher estatísticas para otimizar a funcionalidade do site e para realizar ações de marketing com base nos seus interesses.

Estes cookies são necessários para permitir a funcionalidade principal do site e são ativados automaticamente quando utiliza este site.
Estes cookies permitem-nos analisar a utilização do site, por forma a podermos medir e melhorar o respectivo desempenho.
Permitem-lhe estar em contacto com a sua rede social, partilhar conteúdos, enviar e divulgar comentários.

Cookies Necessários Permitem personalizar as ofertas comerciais que lhe são apresentadas, direcionando-as para os seus interesses. Podem ser cookies próprios ou de terceiros. Alertamos que, mesmo não aceitando estes cookies, irá receber ofertas comerciais, mas sem corresponderem às suas preferências.

Cookies Funcionais Oferecem uma experiência mais personalizada e completa, permitem guardar preferências, mostrar-lhe conteúdos relevantes para o seu gosto e enviar-lhe os alertas que tenha solicitado.

Cookies Publicitários Permitem-lhe estar em contacto com a sua rede social, partilhar conteúdos, enviar e divulgar comentários.